In 2014 I wrote an article about what was then new research from Israel on the human retina. The research indicated that the retina’s Mueller cells act as wavelength-dependent wave-guides substantially enhancing our vision acuity. Specifically, Mueller cells focus the longer-wavelength green-red light onto the cone photoreceptors and pass the shorter-wavelength blue-purple light through to the rod photoreceptors. In other words, the incoming light is not simply distributed uniformly across the different photoreceptors in the retina, but instead is directed intelligently.
For while the cone photoreceptors are fast acting and provide color vision, they are less sensitive and so benefit from the extra amplification. The rod photoreceptors, on the other hand, are mainly sensitive to the shorter-wavelength blue-purple light, so they don’t miss much by the filtering out of the green-red light. The Mueller cells have a funnel-like structure facing the front of the eye, as though designed by an engineer for this purpose. But this research is important for more reasons than its demonstration of design in nature. This research reveals how the evolutionists’ “junk design” argument, in fact, arises from junk science.
Squid and Human
There are dozens of different types of eyes and visions systems in nature but, strangely enough, the squid and the human, for example, share the same camera eye design. This striking similarity in such distant species is problematic for evolution because even if these camera eye designs could have evolved, they otherwise could not have been inherited from the squid-human common ancestor. One of the reasons for this is that the supposed common ancestor of such distant species would not possess a camera eye design. So instead, under evolution this striking and detailed camera eye design would have evolved at least twice, independently.
In other words, this design contradicts evolution’s common descent model. St. George Jackson Mivart was an early observer of this problem with evolutionary theory. He wrote in 1871:
On this theory [Darwinism] the chances are almost infinitely great against the independent accidental occurrence and preservation of two similar series of minute variations resulting in the independent development of two closely similar forms.1
Mivart 1871, pp. 71–72
Mivart was on the right track, as later science would prove. Today, examples of this so-called “convergent” evolution are ubiquitous, including the camera eye design shared by the squid and human. This example surely would be appreciated by Mivart, given the significant differences between these species and their environments.
An Intriguing Difference
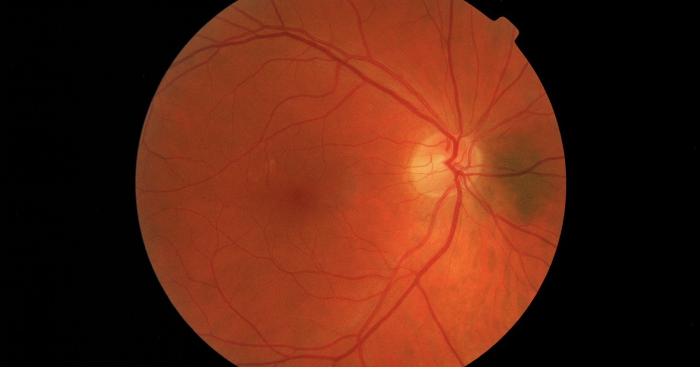
But this is not the only problem that the camera eye design causes for evolution. For all the similarities, there is also an intriguing difference — the retina at the back of the eye is architected in opposite ways in the two species. For example, in the squid the light-sensitive end of the photoreceptor cells faces toward the front. In other words, they face the incoming light rays. At the rear of the photoreceptor cells, neurons carry the electrical signals away, to the brain.
In humans, on the other hand, the photoreceptor cells are arranged in reverse, with the light-sensitive end toward the back, and a forest of neurons and other supporting cells in front. This means that to carry their messages to the brain, the neurons must at some point dive through the retina, causing our so-called blind spot.
In typical fashion evolutionists have confidently pronounced this as an example of junk design. Richard Dawkins is certain of this. Even though any attenuation caused by the neurons and other supporting cells, in front of the photoreceptor cells, is minimal, it was, the famous evolutionist declared, “the principle of the thing that would offend any tidy-minded engineer!”
Similarly, evolutionist Nathan Lents, who identified near-sightedness, far-sightedness, glaucoma, and other maladies, as evidence against design, also finds our “backwards” photoreceptor cells to be a slam-dunk refutation of design. As justification for this claim, Lents wrote in 2015 that “To date, there are no working hypotheses about why the vertebrate retina is wired in backwards.”
This brings us full-circle back to my 2014 article about research indicating that the retina’s Mueller cells act as wavelength-dependent wave-guides substantially enhancing our vision acuity. Recall that the Mueller cells are in front of the photoreceptor cells. Yes, these are some of those cells that, according to Dawkins, Lents, and the evolutionists, block the incoming light.
Do You See the Problem?
In addition to Mivart’s convergent evolution problem, the camera eye design has caused an even more profound problem. The so-called “backwards” photoreceptor cells have trapped evolutionists and their failed approach.
The first, and most obvious, failure is in the evolutionists’ ignorance of the science. Of course, there were “working hypotheses” about the human photoreceptor cells orientation. And the 2014 research was by no means the first.
The second, and more subtle, failure is in the metaphysics driving evolutionary thinking. Dawkins, Lents, and the evolutionists refer to the photoreceptor orientation as “backwards,” and Lents now refers to the incredible Mueller cell wave-guide function (and other such capabilities in our retina) as “compensatory” mechanisms.
A “Feature,” Not a “Constraint”
But this is not scientific. There is no empirical evidence for any of this. From a scientific perspective, there is no evidence that the design is “backwards.” And there is no evidence that the wave-guide function is a compensatory mechanism. Indeed, the straight-forward observation, as one commentator put it, is that “Having the photoreceptors at the back of the retina is not a design constraint, it is a design feature.”
All of this comes from non-scientific, metaphysical, beliefs that evolutionists impose on the science. Evolution never was about the science, and we can see how the evolutionists’ “junk design” argument reveals what is, in fact, junk science. Intelligent design, on the other hand, views the natural world as it is, without imposing a metaphysical interpretation.
Notes
- Mivart, St. George Jackson. 1871. On the Genesis of Species. London: Macmillan.









































